Periodontics @ Saveetha
HOME INFRASTRUCTURE OUR PG RESIDENTS CASE GALLERY TEACHING & LEARNING RESEARCH PUBLICATIONS PATENTS INTERNATIONAL OUTREACH ACHIEVEMENTS OUR BLOG COURSES OUR ALUMINI CONTACT US
HOMEINFRASTRUCTUREOUR PG RESIDENTSCASE GALLERYTEACHING & LEARNINGRESEARCHPUBLICATIONSPATENTSINTERNATIONAL OUTREACHACHIEVEMENTSOUR BLOGCOURSESOUR ALUMINICONTACT US
Periodontics @ Saveetha
Laser assisted management of tongue tie

Case done by Dr. Sarvagya Sharma

Periodontics SaveethaJuly 15, 2025
β€œWhat is canine exposure?β€πŸš€ It's a procedure to uncover impacted canines, and laser technology makes it a game-changer! πŸ’«

Case done by our PG Dr. Debleena

Periodontics SaveethaJuly 7, 2025
β€œWhat is canine exposure?β€πŸš€ It's a procedure to uncover impacted canines, and laser technology makes it a game-changer! πŸ’«

Case done by our PG Dr. Debleena

Video Block
Double-click here to add a video by URL or embed code. Learn more
Periodontics SaveethaJune 30, 2025
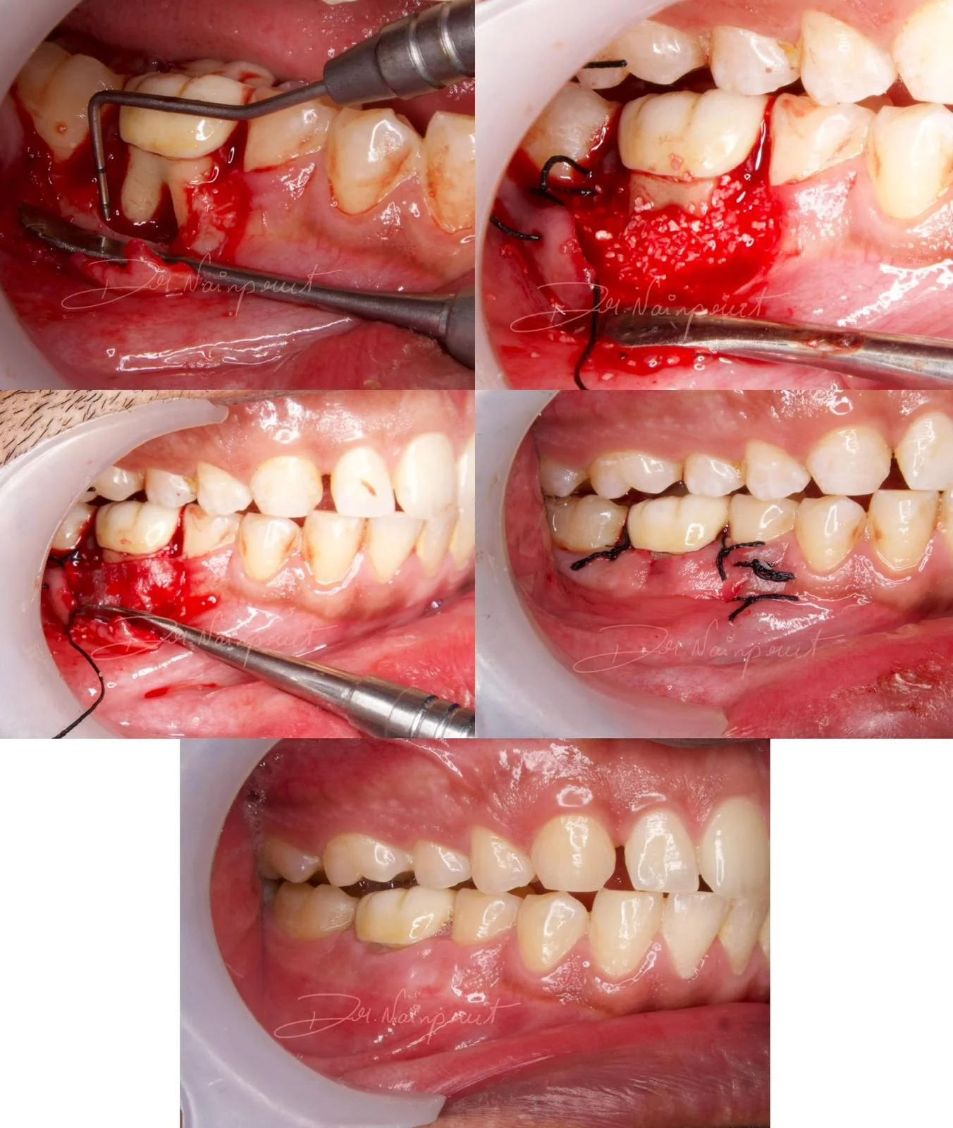
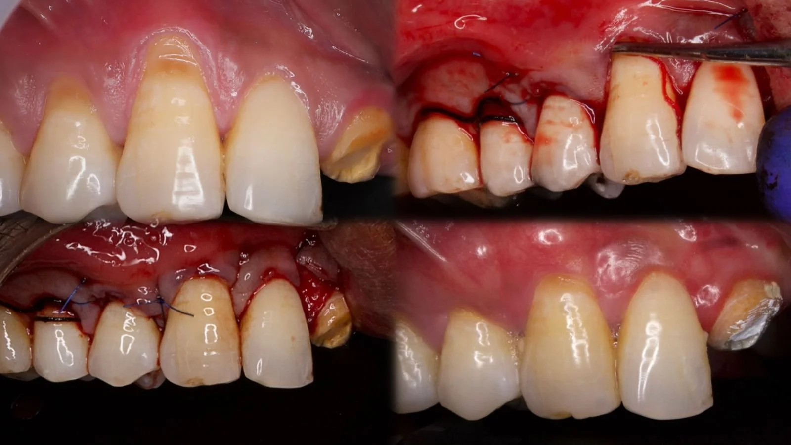
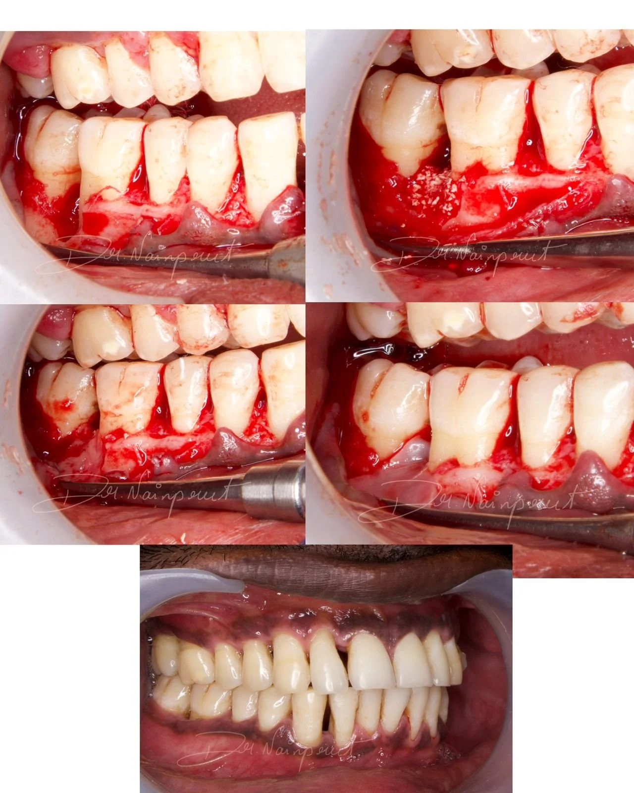
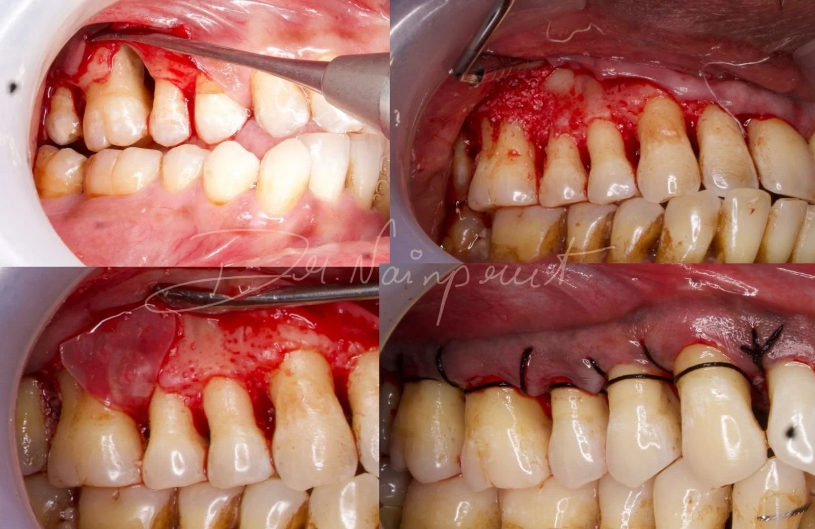
Free gingival graft done to augment the zone of attached gingivaβ€”ensuring long-term periodontal stability.✨

Case done y Dr Nainpreet

Periodontics SaveethaJune 30, 2025
Management of Endo perio lesion with regenerative surgery

Case done by Dr Nivedha, III year post graduate student

Periodontics SaveethaFebruary 4, 2025
Implant placement in relation to 46

Case done by Dr Nivedha, III year post graduate student

Periodontics SaveethaJanuary 28, 2025
Ridge augmentation in relation to upper anterior teeth

Case done by Dr Nivedha

Periodontics SaveethaJanuary 13, 2025
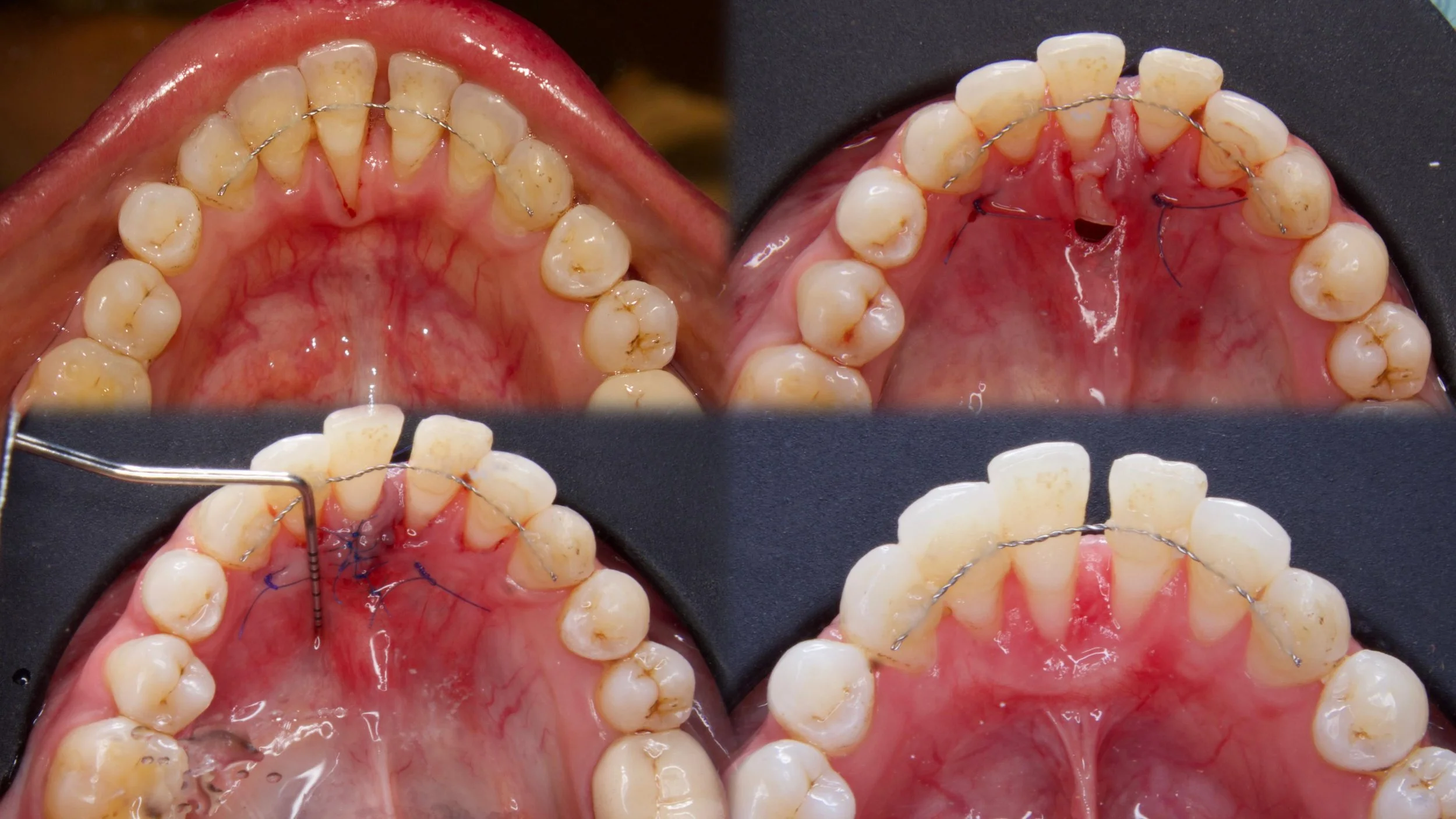
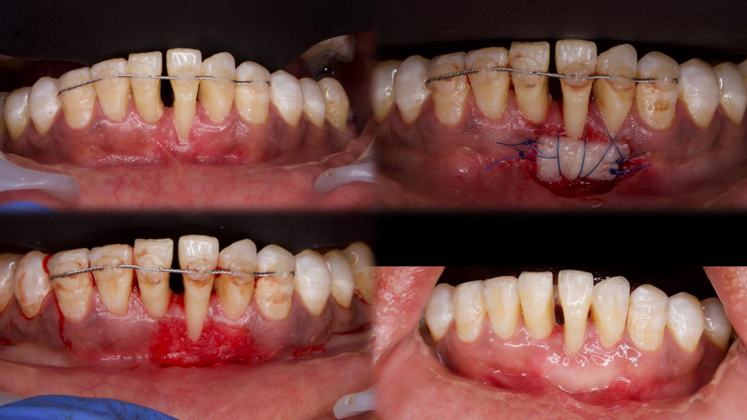
Root coverage with Tunelling and coronally advanced flap

Case done by Dr NIvedha, III year PG

Periodontics SaveethaJanuary 7, 2025
GUIDED BONE REGENERATION - RIDGE AUGMENTATION IN MAXILLA

Surgery performed by Dr Amit

Periodontics SaveethaDecember 26, 2024
CONCENTRATED GROWTH FACTOR in Periodontal regeneration

Surgery performed by Dr Afrin

Periodontics SaveethaDecember 18, 2024
RECESSION COVERAGE WITH 3-D COLLAGEN MATRIX

Surgery performed by Dr Amit

Periodontics SaveethaDecember 13, 2024
IMPLANT CASE SERIES

Surgery performed by Dr Maria Sharon

Periodontics SaveethaDecember 12, 2024
CORONALLY ADVANCED FLAP WITH FIBRO-GIDE - management of inadequate width of attached gingiva

Surgery performed by Dr Amit

Periodontics SaveethaDecember 1, 2024
PAPILLA RECONSTRUCTION SURGERY WITH CONNECTIVE TISSUE GRAFT (Lower anteriors)

Surgery performed by Dr Mohammed Thaha

Periodontics SaveethaNovember 26, 2024
FREE GINGIVAL GRAFT FOR AUGMENTATION OF WIDTH OF ATTACHED GINGIVA

Surgery performed by Dr Poulami

Periodontics SaveethaNovember 21, 2024
INTRA-BONY DEFECT MANAGED WITH PLATELET RICH FIBRIN (PRF)

Surgery performed by Dr SUPRAJA

Periodontics SaveethaNovember 1, 2024
Erbium laser for root bio modification

Surgery performed by Dr Poulami

Periodontics SaveethaOctober 9, 2024
ROOT COVERAGE WITH CORONALLY ADVANCED FLAP

Surgery performed by Dr Poulami

Periodontics SaveethaSeptember 8, 2024
SURGICAL FRENECTOMY

Surgery performed by Dr SUPRAJA

Periodontics SaveethaAugust 21, 2024
GINGIVECTOMY AND FRENECTOMY WITH DIODE LASER

Surgery performed by Dr SUPRAJA

Periodontics SaveethaJuly 24, 2024
Older

home Infrastructure Courses Testimonials Contact Us